Trang chủ > Các chuyên khoa > Các khoa lâm sàng
Các khoa lâm sàng
KHOA KHÚC XẠ 2026: Chuyên nghiệp hóa dịch vụ y tế, mang trải nghiệm...
KHOA KHÚC XẠ 2026: Chuyên nghiệp hóa dịch vụ y tế, mang trải nghiệm công nghệ số hiện...
Bệnh viện Mắt tổ chức tư vấn và khám tầm soát miễn phí bệnh...
Bệnh glôcôm, dân gian còn gọi là bệnh thiên đầu thống hay bệnh cườm nước.
Đến năm 2040 số...
HỘI NGHỊ KHOA HỌC MỪNG XUÂN BÍNH NGỌ 2026
Nhằm cập nhật kiến thức chuyên môn, chia sẻ kinh nghiệm lâm sàng và giới thiệu những tiến...
ĐĂNG KÝ LỊCH PHẪU THUẬT KHÚC XẠ TRỰC TUYẾN CHỈ VỚI MỘT THAO TÁC...
Hướng đến mục tiêu hiện đại hóa dịch vụ y tế, cải cách thủ tục hành chính và...
Dinh dưỡng ngày Tết: Vui tết an toàn – Tránh lạm dụng rượu bia
Mỗi dịp Tết đến Xuân về, việc cùng nhau nâng ly rượu, bia để chúc mừng năm mới...
LỊCH NGHỈ TẾT MỪNG XUÂN MỚI BÍNH NGỌ 2026 CỦA KHOA KHÚC XẠ
LỊCH NGHỈ TẾT MỪNG XUÂN MỚI BÍNH NGỌ 2026 CỦA KHOA KHÚC XẠ
♡♡♡♡♡♡♡♡♡
Tết đang đến thật gần,...
2026 Khoa Khúc Xạ triển khai thực hiện cải cách hành chính
KHOA KHÚC XẠ 2026: ĐẨY MẠNH CHUYỂN ĐỔI SỐ Y TẾ - CẢI CÁCH HÀNH CHÍNH -...
LÀM SAO ĐỂ CHỌN ĐÚNG PHƯƠNG PHÁP PHẪU THUẬT KHÚC XẠ CHO RIÊNG MÌNH?
Chuyên mục tư vấn, giáo dục sức khỏe
LÀM SAO ĐỂ CHỌN ĐÚNG PHƯƠNG PHÁP PHẪU THUẬT KHÚC XẠ...
KHOA GLAUCOMA CẢI TIẾN POSTER HƯỚNG DẪN QUY TRÌNH THỰC HIỆN LASER YAG TẠI PHÒNG NGOẠI...
Laser YAG cắt mống mắt chu biên là một thủ thuật rất quan trọng trong điều trị...
ĐẨY MẠNH CẢI CÁCH HÀNH CHÍNH GẮN VỚI CHUYỂN ĐỔI SỐ
Ứng dụng công nghệ số trong truyền thông – giáo dục sức khỏe
Trong những năm gần đây, thực...
Thực hiện chuyển đổi số trong công tác điểm danh vị trí làm việc...
Khoa Gây mê hồi sức gồm 9 phòng mổ nằm rải rác tại các khu của Bệnh viện...
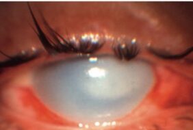
VIÊM GIÁC MẠC DO ONG ĐỐT
Viêm giác mạc do ong đốt là gì?
- Ong đốt giác mạc là một chấn thương mắt thường...










